Ahora puedes leer el artículo de La Voz del Muro sobre Increible: Ahora intentan hacer crecer los dientes perdidos… ¡y en adultos!.
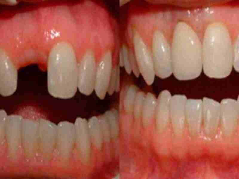
La pérdida de los dientes puede ser un problema común. Es bien sabido que cuando somos niños los dientes se caen para ser reemplazados por los que usaremos el resto de nuestra vida. Sin embargo, estos también podemos perderlos, ya sea por edad, algún golpe, falta de higiene, etc. Sin…





